「MRIを用いる環境ホルモンの脳・神経系への影響の研究」
なぜ脳か
内分泌かく乱化学物質(環境ホルモン)とはホルモン受容体を介して,また,この受容体が関与する代謝系を介して生体反応に影響を及ぼし得る化学物質と定義されており,環境省のホームページでは65の化学物質がリストアップされている。これまで,環境ホルモンの健康影響に関しては精子数の減少,精巣がんや子宮がんの増加等,生殖系臓器への影響が主として研究されてきた。しかし,化学物質受容体が最も多く存在しているのは脳であり,私たちがものを考えたり,記憶したり,目や耳を通して外界を認識したりという脳の機能は神経伝達にかかわる受容体機能そのものであるといっても過言ではない。ちなみに,脳内で神経細胞同士が連絡をしている神経接合部(シナプス)の数は100兆個にものぼると言われる。
脳は化学受容体の巨大な集積体であるわけだが,本来これらの受容体に結合する神経伝達物質としてグルタミン酸やγアミノ酪酸をはじめとして100以上の物質が知られている。また,これらの化学受容経路に影響を及ぼし得る物質も,向精神薬や麻酔剤をはじめとしてぼう大な数にのぼる。このように見ていくと,脳に影響を及ぼし得る化学物質はこれまで環境ホルモンと呼ばれた物質の範囲を超えてはるかに多種多様であることがわかる。幸いにして,体の他の部分から脳への化学物質の移動は血液脳関門と呼ばれるバリアにより厳しく制限されている。しかし,胎児や幼児ではこのバリアの働きは十分でなく,成人でも人によってはバリアが弱まっている場合がある。このような状況で,脳内で活性を示すような化学物質が脳に侵入すると何らかの影響が起きることが懸念される。ましてや,脳の形成期にある子供では,取り返しのつかない影響が及ぶことも考えられる。
実際に,疫学的研究では米国五大湖地方でPCBの含まれる魚を多く摂取した母親から生まれた子供ではその知能発達が有意に遅れるという研究報告もされている。要するに,脳に影響を及ぼし得る化学物質(神経かく乱物質と呼ぶ人もいる)はきわめて多種にのぼり,我々の知らないうちに人間の脳の劣化や,人間性の変質が起こりかねないことが憂慮されるのである。
MRIで脳をみる
さて,前置きが長くなったが,我々の脳は化学物質によって不測の影響を受けていないだろうかということが,当研究の出発点であった。このような疑問に答えるためには私たちの脳を何らかの方法でモニターする手段が必要である。近年,X線CT,PET,MRI,脳磁計等の画像診断法のめざましい進展により,生きて活動している脳を観察することができるようになってきた。なかでも,MRI法は放射線の被曝が一切なく,脳の詳細な解剖学的構造や,機能が発現している部位の特定(これを脳機能マッピングと呼ぶ),さらには脳局所における神経伝達物質の代謝等の生化学的知見も得ることができるうってつけの方法である。私たちは,研究の開始とともに国内で最も高感度の人体用MRIを設置し,ヒト脳の形態や代謝機能の測定法の開発を進めてきた。これまで,高感度の信号検出器の開発や,3次元高精細画像法の研究,脳局所の代謝の多面的測定法の研究を進め,昨年より一般ボランティアの測定を開始した。当面の目標は,測定法の改善や,ヒトの脳でどのような生体指標を測定できるかという探索的研究が中心であるが,将来は多数の被験者データの集積へと進む予定である。
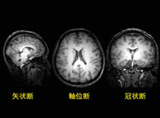
これまでに得られたいくつかの画像を紹介したい。図1は3次元形態画像から脳の3方向の断面を抽出した結果である。神経細胞が集積する灰白質(画像でも灰色に見える),神経細胞同士の連絡をする神経線維の束である白質(画像でも白っぽい)が明瞭に識別できる。この違いを用いて,両者を定量する方法も検討中である。また,図2では脳のほぼ中央両側に存在する側脳室と呼ばれる部位を抽出した(画像ではX字状の暗い部分)。上段が男性,下段が女性で左から右に年齢順に並べた。まだ,わずかな測定例ではあるが,年齢とともに脳室が拡大していく様子が明瞭に認められる。高精細の形態画像では,このほか男性と女性で性差があるといわれる脳梁の形態や厚さ,脳内のホルモン分泌器官である脳下垂体の形状にも注目している。図3は主に視覚に関与することが知られている脳の後ろの部分(後頭葉)に存在する代謝物を測定したスペクトルを示す。上段は陽子(1H)のスペクトルで,神経細胞のマーカーであるN-アセチルアスパラギン酸や,代表的な興奮性神経伝達物質であるグルタミン酸等の代謝物が認められる。下段はリン(31P)のスペクトルで,脳内のエネルギー代謝を司る高エネルギーのクレアチンリン酸やATPが明瞭に観測できる。これらのスペクトルは10分間の測定で得られ,世界で初めて両スペクトルを同時に得られるようになった。これらのスペクトルから脳の生理学的状態を表す情報が得られると期待している。



平成16年度にはさらに,脳機能マッピング法を指標化するための研究を進め,脳の形態,代謝,機能局在の3方向から脳の観察手段を確立することをめざしている。
ヒト集団における脳画像データの集積
ここまで,研究の目的と進行状況を紹介したが,観察手法の確立を待って,当研究はヒト集団の脳画像データ集積に向かう予定である。プラスチック可塑剤等の環境ホルモンが多用されるようになる前と後の世代間で何らかの相違が見られるのか,また,有機溶媒や農薬等の高暴露集団では差があるのか,環境ホルモンがヒト脳に影響を与えている可能性の有無についてアプローチして行きたいと考えている。化学物質の入りやすさと脳の発達過程を考えると,子供の成長に合わせた長期的観測といった研究も必要と思われる。いずれにせよ短期決戦で結果が出るというものではないが,現在の日本人の脳を記録に留めておくということは,将来起こるかもしれない脳を標的とする健康被害に対しても重要なベースラインデータを提供すると考える。
執筆者プロフィール:
専門は磁気共鳴。卒業研究以来30年余り磁場の中にはいったり出たりして仕事をしている。重度の活字中毒。最近のおすすめは,丸谷才一の「輝く日の宮」,西原理恵子。
目次
- 巻頭言
- 【研究ノート】
- 環境問題基礎知識