研究者に聞く!!
Interview

平野靖史郎(写真左)
環境リスク研究センター・健康リスク研究室室長
健康リスク研究室のメンバー(写真右)
環境リスク研究センター・健康リスク研究室室長
健康リスク研究室のメンバー(写真右)
ナノマテリアルは、新たな機能が期待される工業材料ですが、人の健康や環境に対する影響については、まだ明らかではありません。ナノマテリアルの生物体内での挙動やその毒性評価を研究している環境リスク研究センター・健康リスク研究室の平野靖史郎室長に、研究の成果やナノマテリアルをめぐる研究の動向をうかがいました。
ナノマテリアルの安全性を評価する
分子・原子レベルのサイズになった工業材料
-
Q:近年、「ナノマテリアル」ということばをよく耳にします。ナノマテリアルとは何ですか。平野:「ナノ」サイズとは、「1mmの100万分の1の長さ」を表すことばです。これに、「材料」を意味する「マテリアル」を結合させた「ナノマテリアル」は、「ナノテクノロジーにより生み出された材料」という意味です。すなわち、大きさが1~100nmの小さな構造をもつ物質です。球形をした粒子もあれば繊維状やシート状のものなど、形状もさまざまですが、それらをすべてナノマテリアルと呼んでいます。
-
Q:とても肉眼では見えない大きさですね。平野:1nmより小さな粒子は、もう分子や原子に近いサイズですからね。100nmより大きい粒子は、従来の粒子の扱いになります。ナノサイズの粒子は、通常の光学顕微鏡では見ることができないくらい小さいので、観察したり、測定したりするのはとても難しいことなのです。
-
Q:ナノマテリアルには、どんなものがあるのですか。平野:ナノテクを利用してつくられた工業用材料がナノマテリアルですが、実際ナノマテリアルはずいぶん私たちの身近なところで使われているんですよ。大きく分けると、フラーレンやカーボンナノチューブのような炭素系、銀ナノ粒子や二酸化チタンなどの金属系、デンドリマーなどの有機ポリマー、それに二酸化ケイ素などのセラミック系に分けられます(図1)。これらは、触媒や液晶などに使われますが、最近では医療や化粧品への応用も期待されています。

図1 ナノマテリアルの種類
一口にナノマテリアルといっても、化学物質としては炭素、金属、セラミックス、有機高分子やこれらを複合的に含むものもあります。また、ナノマテリアルの種類がさらに増えていることから、総合的にナノオブジェクトとも呼ばれています。
ナノマテリアルはさまざまな工業用製品に使われていますが、日焼け止めクリームに用いられている二酸化チタンや消臭剤として使われている銀ナノ粒子などは、日用品として使われており、馴染のあるナノマテリアルです。
ナノマテリアルはさまざまな工業用製品に使われていますが、日焼け止めクリームに用いられている二酸化チタンや消臭剤として使われている銀ナノ粒子などは、日用品として使われており、馴染のあるナノマテリアルです。
-
Q:医療や化粧品にも使われているのですか。平野:医療用としては、ドラッグデリバリーシステムといって、体内の目的の場所に薬を効率よく運ぶためのカプセル材料などに使われます。酸化チタンや酸化亜鉛は日焼け止めクリームやファンデーションに、銀粒子は消臭スプレーに使われています。
これら化粧品に使うようになったのはずいぶん前からですが、最近の日焼け止めクリームは白くならないでしょう。物質の粒子がナノサイズにまで小さくなったので、光の反射が抑えられているためです。
注目されるナノマテリアルの安全性
-
Q:そういえば、最近の日焼け止めクリームは塗っても白くならないし、さらさらしています。こんな身近な物質が、生体に影響するのですか。平野:10年ぐらい前から、ナノ粒子は、サイズが小さいので、細胞や組織の中に入りやすいのではないかと言われていました。自動車の排ガス中のナノ粒子が、これまで研究されてきた比較的大きな粒子とは異なる機序で健康に影響する可能性があるとヨーロッパの研究グループを中心に、指摘されたことをきっかけに、ナノ粒子の安全性が注目されるようになりました。
また、2000年当時に米国のクリントン大統領がナノテクの推進を掲げてから様々なナノマテリアルが市場に出回るようになると、ナノマテリアルの健康への影響や環境への影響が危惧されはじめ、世界中でナノサイズの構造をもつ物質、すなわちナノマテリアルの安全性評価の研究が始まりました。 -
Q:先生がナノマテリアルの安全性についての研究を始めたきっかけは?平野:かつて、アスベストの研究をしていたことが根底にあるからです。現在は、アスベストの有害性が明らかになっていますが、以前は、アスベストは夢の繊維といわれ産業を支える重要な素材でした。
私は30年ほど前に、国立環境研究所(当時は公害研究所)に入所しましたが、その時の上司が、環境中にこれから増えていくアスベストの健康影響にすでに注目していました。そして、新人の私に研究するように勧めてくれたのです。その時のアスベストの毒性に関する研究経験があったおかげで、取り扱うのが難しいナノマテリアルにも、比較的容易に取り組むことができました。 -
Q:アスベストもナノマテリアルなのですか。平野:形状からは、アスベストのことを天然に存在するナノマテリアルと呼んでもよいと思います。アスベストは髪の毛よりも非常に細い繊維状の粒子で、吸入することにより肺に沈着し、中皮腫や肺がんを起こします(コラム参照)。
-
Q:同じことがナノマテリアルでも起こるのですか。平野:まだ、はっきりしていませんが、繊維状のナノマテリアルがアスベストと同じような健康影響を及ぼす可能性はあります。ですから、生体への影響の研究をさらに推し進めなければなりません。これまでの研究から、数十nmのナノ粒子が肺胞領域に沈着しやすいことがわかりましたが、繊維状粒子に関してはまだ研究段階にあると思います。
体内を移行する?
-
Q:ナノ粒子が肺に入るとどうなるのですか。平野:粒子の大きさによって、粒子の挙動が違います。ナノ粒子よりかなり大きいサイズの粒子(2.5~10μm)は、気管や気管支に沈着し、その後、痰とともに排出されますが、それより小さい2.5μm以下のものは肺胞に沈着します。肺胞に入った粒子は、異物として捉えられ、白血球の一種であるマクロファージに食べられて肺胞表面から除去されます。このマクロファージの粒子除去作用を「貪食」とよんでいます。ところが、それらの粒子よりさらに小さいナノ粒子は、組織を比較的簡単に透過することができるので、肺胞壁を透過して血管内へ直接移行する可能性があるといわれています(図2)。

図2 肺に沈着した粒子のクリアランス機構
環境ナノ粒子やナノマテリアルは、粒子状物質として呼吸器から体内に取り込まれることが考えられます。これらの基本粒子サイズは1~100nm、すなわち0.001~0.1μmになります。これまで、粒子状物質の呼吸器における沈着や除去(クリアランス)は、主として、喉頭より下部気道に侵入する10μm以下の粒子と、肺胞領域にまで達しやすい2.5μm以下の粒子について研究されてきました。これらの粒子は、呼吸器に沈着した後、粘液・繊毛作用によりたんとして、あるいは肺胞マクロファージという白血球系の細胞が細胞内に取り込むこと(貪食)により呼吸器から除去されることがわかっていました。しかし、粒径が0.1μm以下にまで小さくなると、粒子が肺の組織そのものを通過して血流などに移行し、これまでと異なる生体作用を示すのではないかと危惧されています。
-
Q:血管に入れば、体内のあちらこちらに移行するかもしれませんね。平野:心臓まで移行して、循環器機能に影響することも懸念されています。必ずしも吸い込んで体内に入るナノマテリアルばかりとは限りません。たとえば、日焼け止めクリームや消臭スプレーなどは、皮膚から体内への侵入が考えられます。そして、粒子のサイズが小さいということは、従来の材料に比べて、重さあたりの粒子の個数が多くなるので、生体成分や細胞と接する表面積も大きくなり、強い生体反応を起こす可能性があります。
-
Q:同じ重さだったら、ナノマテリアルのほうが生体と反応しやすいということですか。平野:そうです。でも、ナノマテリアルの毒性に関する情報はまだとても少ないのです。小さすぎて測定するのが難しい上に、粒子同士がすぐにくっついてしまい、その物質の影響がよくわからないのですよ。
-
Q:健康への影響を調べるといってもずいぶん難しそうですね。平野:今のところ、ナノマテリアルを規制するといっても化学物質としてしかできません。安全だとされていた物質でも、粒子の大きさや形状が違えば生体への影響が変わります。だから同じ化学物質でも、物性としての影響を評価しなければなりません。それで、まず2006年から研究してきたディーゼル排気ナノ粒子とアスベスト、ナノマテリアルの体内での動態やカーボンナノチューブの生体への影響を検討しました。
アスベストより細胞毒性が強いカーボンナノチューブ
-
Q:なぜ、カーボンナノチューブを調べたのですか。平野:カーボンナノチューブは、細長い円筒状の構造をした炭素の同素体です。機械的な強度も高く、電気伝導性もよいので、さまざまな素材に使われています。ところが、アスベストと同様に繊維状で分解されにくいため、生体への影響も似ている可能性があるといわれています。すでに使われている物質に健康影響があったら大変ですから、急いで調べることにしたのです。
-
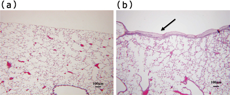
Q:どんな実験をしたのですか。平野:まず、カーボンナノチューブをマウスの腹腔や気管に投与しました。約1年後のマウスの肺組織を観察すると、肺の拡張を妨げるように漿膜が厚くなっていました(図3)。

図3 カーボンナノチューブを胸腔内投与したマウスの肺組織
カーボンナノチューブはアスベストに極めて近い形状をしています。アスベストは肺組織を透過して肺と胸郭の間(胸腔)にまで達することが知られてい
ます。そこで、カーボンナノチューブをマウスの胸腔内に直接投与して肺組織にどのような変化が起こるのかを調べたところ、(a)図に示した対照のマウ
スの肺に比べ、(b)図において矢印で示したように、カーボンナノチューブを投与したマウスでは、肺をつつんでいる漿膜(中皮)が肥厚していることがわ
かりました。
-
Q:やはり肺への影響が大きかったのですね。平野:ええ、肺腫瘍が発生した個体もありましたが、より詳細な研究が必要です。さらに、カーボンナノチューブをマウスに吸入させると、肺胞のマクロファージがカーボンナノチューブを取り込んでいることがわかりましたし、培養したマクロファージにカーボンナノチューブを添加すると、非常に効率よく細胞内に取り込まれることがわかりました。
-
Q:どうやって確認したのですか。平野:電子顕微鏡で、肺胞の様子を観察したのです。すると、カーボンナノチューブに、マクロファージの細胞膜が強く反応しているのがはっきりと見えました(図4)。また、カーボンナノチューブはマクロファージに対して強い細胞毒性を示すことがわかりました。

図4 カーボンナノチューブはマウスマクロファージの細胞膜を傷害する
マウスのマクロファージをカーボンナノチューブとともに培養して走査型電子顕微鏡で観察しました。(a)は何も曝露していない対照のマクロファージですが、細胞膜の動きが活発であるために、表面は多くのひだ様の構造が見られます。(b)はマクロファージの細胞膜がカーボンナノチューブと反応して絡み合っている状態を示しています。(c)は長いカーボンナノチューブを完全に取り込めなかった細胞が傷害を受けたことを示しています。白い△は、細胞膜と反応したカーボンナノチューブを示しています。(TAAP,232:244-251)
-
Q:ほかの細胞ではどうでしたか。平野:気管支の上皮細胞への影響も調べました。アスベストの影響と比べたのですが、細胞に対する毒性は、マクロファージと同様にアスベストより強いものでした(図5)。

図5 カーボンナノチューブの細胞障害毒性
アスベストの一種であるクロシドライト(青石綿)を比較対照用の繊維状粒子として用いて、カーボンナノチューブにどれくらい強い細胞障害性があるのかを調べました。細胞には、呼吸器に関連するマクロファージ(a,b)と気管支上皮細胞(c,d)を用いました。縦軸の100%は細胞がすべて生きている状態、0%は細胞がすべて死んでしまった状態を表します。ここのグラフは、カーボンナノチューブではクロシドライトより低い濃度で細胞が死んでしまうことを示しています。これはカーボンナノチューブがクロシドライトより細胞障害性が高いことを意味しています。(TAAP,249:8-15)
-
Q:カーボンナノチューブはアスベストより生体への影響が大きいのですか。平野:今のところ、細胞毒性はアスベストより強そうです。ただし、カーボンナノチューブの繊維の長さによって、毒性が変わるようです。繊維の長さと毒性の関係について、もっと詳細に調べていきたいと思っています。
-
Q:なぜ、マクロファージがカーボンナノチューブを取り込むことができるのでしょうか。平野:その詳細はわかっていませんが、マクロファージには、ナノマテリアルを効率よく取り込む性質があるようです。マクロファージの表面には、カーボンナノチューブなどナノマテリアルを取り込む受容体があるといわれています。そこで、その遺伝子を使って、その受容体を発現する細胞をつくり、カーボンナノチューブの取り込み実験を行いました。この研究により、マクロファージが受容体を介して、カーボンナノチューブを取り込んでいることがわかりました。この機構を詳細に調べれば、肺胞表面に沈着した粒子状物質を、どのようにしてマクロファージが貪食して粒子を除去するのか、その仕組みがわかると思います。
形が変われば毒性が変わる
-
Q:開発が進むナノマテリアルですが、ナノサイズにまで小さくなった粒子は生体に悪いということになってしまうのでしょうか。平野:たしかにサイズが小さいほど、生体への影響が大きくなるといえるのですが、形や長さも大きく影響するようなのです。電子顕微鏡を使って、細胞内へ取り込む様子を観察すると、丸い粒子状のものは、細胞内に取り込まれても安定した状態ですが、繊維状のものは、長いため細胞内に取り込まれずにほかの細胞を傷つけたり、細胞内に入っても、核を傷つけたりするようです。アスベストでは、800℃に加熱すると結晶構造がくずれ、繊維状でなくなると、毒性が失われることがわかっています。
-
Q:繊維状のほうが生体への影響が大きいということですか。平野:生体内で分解されにくい繊維状の粒子についてはそのように考えています。アスベストと同様に、繊維の長い粒子が強い影響を示すと考えています。
-
Q:形が変わると毒性も変わるということですか。平野:そうです。同じ物質でも形が変われば、物性が変わるとともに生体への影響も変わります。アスベストは発がん物質ですが、その作用は物理刺激によるものなので「物理発がん」と呼んでいます。繊維という形状が生体影響に大きく影響していると考えています。化学物質としてではなく、物性から毒性を見るということは今まであまり取り組まれてこなかった考え方です。そこで、ナノマテリアルの毒性研究分野である「ナノトキシコロジー」では、毒性を物性から評価することを重視しています。でも、まだその試験方法は確立していません。
-
Q:今後はどのように研究を進めるのですか。平野:ナノマテリアルは、そのすぐれた機能から、今後もますます多く使われることになるでしょう。そこで、安全にナノマテリアルを使うための国際的に合意された共通のガイドラインを一刻も早くつくらなければなりません。そのために、ナノマテリアルの毒性を評価する手法の開発に力を入れています。カーボンチューブに加え、化粧品などで使われる銀ナノ粒子や二酸化チタンにも注目しています。生産量も多く、使っている消費者も多いですからね。リスクばかりを考えるとせっかくの技術も進みませんから、安全にそしてベネフィットを最大限にいかしたナノマテリアルの使用に貢献できるようにしたいと考えています。
コラム
-
アスベストや環境ナノ粒子とナノマテリアルアスベストは天然に存在する繊維状の鉱物繊維で、肺に沈着した場合に肺がんや中皮腫を起こすことが知られています。中皮腫は肺や胸腔内を覆っている漿膜に起こるがんです。アスベストになぜこのような生体影響があるのでしょうか。まず、アスベストは水に溶解しにくく肺胞内に長くとどまることが理由としてあげられます。また、アスベストの繊維径が数十nmと、極めて細いために肺組織を通過して肺の外側、すなわち胸腔内にまで達することが、中皮腫を起こす原因だと考えられます。ナノマテリアルの代表的物質であるカーボンナノチューブは、形状が極めてアスベストに近く、また炭素素材ですので生体内で溶解することもありません。そのため、アスベストと同じような健康影響を及ぼすのではないかと危惧されています。アスベストの生体影響については多くの研究報告があり、ナノマテリアルの毒性研究を進める上で役立っています。
一方、大気中にも様々な粒子が存在しています。特に、交通量の多い道路の交差点には20~30nmの粒径をもつ環境ナノ粒子が多く存在することが知られています。ナノマテリアルが工業用製品として意図的に生産されることから、環境ナノ粒子のことを「非意図的ナノ粒子」と呼ぶこともあります。2009年9月にはPM2.5(2.5μm以下の大気中微小粒子)の環境基準が設定されましたが、2.5μm以下の粒子の中でも環境ナノ粒子のように超微小粒子の生体影響については不明の点が多く、吸入曝露実験を中心として環境ナノ粒子の生体影響に関する研究が進められてきました。
アスベスト、環境ナノ粒子、ナノマテリアルの生体影響に関する研究を進める上で共通していることは、これらの物質は不溶性あるいは難溶性の粒子状物質であり、粒子の表面が細胞や生体物質との反応の場になっていることです。これが、体内に吸収されて毒性が現れる通常の化学物質の場合と異なる点で、粒子状物質の研究で注意しておかなければいけない重要なポイントです。粒子状物質の生体影響の研究をした経験をもとに、はじめて精度の高いナノマテリアルの毒性研究ができると考えています。
目次
- 環境儀 NO.46
- Summary
- 研究をめぐって
- 環境儀 NO.46
関連記事
表示する記事はありません