ディーゼル排気微粒子と肺炎
シリーズ重点特別研究プロジェクト:「大気中微小粒子状物質(PM2.5)・ディーゼル排気粒子(DEP)等の大気中粒子状物質の動態解明と影響評価」から
井上 健一郎
はじめに
最近の規制によりディーゼル由来排気ガスの発生が減少していることは事実です。しかし,それらの排気ガスに由来するディーゼル排気(DE)やディーゼル排気微粒子(DEP)による健康影響の評価とその対策は依然,環境汚染問題の重要課題の1つと考えられています。当プロジェクトの一環としまして私たちは,DEやDEPの健康影響について研究してきました。特にDEPの経気道曝露やDEの曝露が,呼吸器における免疫応答へのDEPの修飾効果について研究してきました。例えば,DEやDEPがアレルギー性気管支喘息を増悪させることを明らかにしてきました。
肺炎をはじめとする呼吸器への過度のストレスは,時として急性肺傷害という自らの過度の免疫応答によって肺組織を損傷へ導く病態に陥ります。さらにはその組織損傷は肺にとどまらず,全身性の炎症の惹起・増幅にまで発展することがしばしば見られます。そこで私たちは,DEPの呼吸器循環器血管系への影響に注目し,DEPの経気道曝露が肺炎で惹起される急性肺傷害のみならずそれに随伴して起こる全身性炎症や血管内皮傷害,凝固・線溶系異常に及ぼす影響も併せて研究しております。この場をお借りしまして一部ですが,これまで当研究室で得られた知見を紹介させていただきます。
DEPは急性肺傷害を増悪する
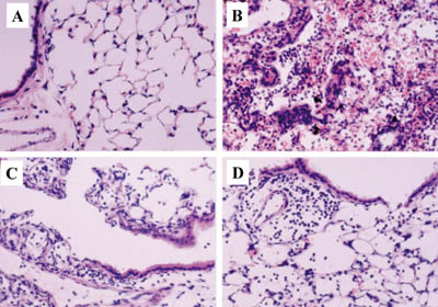
我々は,肺炎に関連する急性肺傷害に対するDEPの修飾効果を明らかにする目的で,細菌毒素(E. Coli)の経気道曝露により惹起されるマウス肺傷害モデルを用いてDEPの経気道曝露による影響を検討しました。マウスに細菌毒素を投与して24時間後に肺の組織像を検討したところ,DEP(D)及び細菌毒素(C)単独投与群と比較して,DEPと細菌毒素の併用群では著明な炎症細胞浸潤,浮腫,肺胞出血が観察されました(B)。その他,炎症細胞の遊走や活性といった肺傷害において重要な役割を果たしているサイトカインやケモカインの肺における発現を検討すると,IL-1β,KC,MCP-1,MIP-1αなどの炎症性分子のタンパクは,DEPと細菌毒素の併用群で著明な上昇が見られ,特にMIP-1αというケモカインで相乗効果は大きく見られました。また,これらの変化は,肺の傷害の重症度とよく相関していました。これらの実験結果は,DEPの経気道曝露が肺炎に関連する肺傷害を増悪する可能性があることを示しています。

DEPの構成成分別の急性肺傷害への影響
DEPは炭素粒子を核として有機化学物質,金属等の集合体です。そこで私たちは次に,DEPをジクロロメタンによって炭素粒子成分と有機化学成分に分け,それぞれのDEP構成成分による急性肺傷害への影響につき検討しました。先の実験と同様細菌毒素を投与して24時間後に肺の組織像を検討したところ,細菌毒素単独投与群と比較して,炭素粒子成分と細菌毒素の併用群では著明な炎症細胞浸潤,浮腫,肺胞出血が観察されました。一方有機化学成分と細菌毒素の併用群でも細菌毒素単独群と比べて炎症細胞浸潤の増悪が見られましたが,浮腫や肺胞出血の程度は炭素粒子成分と細菌毒素の併用群ほど強くはありませんでした。また,肺での炎症に関与するタンパクの発現は炭素状粒子と細菌毒素との併用群で細菌毒素単独群と比較して有意かつ著明な上昇を認めたのに対し,有機化学成分と細菌毒素との併用群では細菌毒素群と同等もしくは低下傾向を認めました。これらの実験結果によりDEPによる肺炎に関連する急性肺傷害の増悪効果は主として炭素粒子成分に寄与している可能性が高く,有機化学成分との混合によりさらにその効果が修飾されていると推察できます。
DEPは肺炎に付随する急性全身性炎症反応を増悪する
細菌毒素の経気道曝露は血中フィブリノーゲン及び炎症性サイトカイン・ケモカインのタンパク濃度を上昇させ,いわゆる全身性炎症反応を引き起こします。そこで我々はDEPの構成成分が細菌毒素の経気道曝露により惹起される全身性炎症反応に及ぼす効果につき検討しました。細菌毒素投与24時間後に採血し血漿でのフィブリノーゲン,IL-1β,MIP-1α,MIP-2,MCP-1,GM-CSF及びKCといった炎症に関与するメディエーターの濃度を測定したところ,細菌毒素単独投与群と比較してDEP構成成分との併用群で上昇を示しました。さらに肺傷害と同様この増悪効果は有機化学成分との併用より炭素状粒子との併用において強い傾向にありました。これら結果よりDEPは肺炎に関連する肺傷害のみならずそれに随伴して起こる全身性炎症反応をも増悪することが示唆されます。
おわりに
以上の実験結果は,DEPを含めた大気浮遊粒子状物質(SPM)の増加が感染に関連する肺傷害のみならず全身の炎症反応をも増悪させる可能性を示唆します。また,全身性炎症反応は動脈硬化をはじめとする虚血性心疾患の原因因子としても重要です。よってこれらの結果はまた,SPMの濃度上昇が虚血性心疾患の危険因子であるとする疫学的研究を支持し得るデータとも考えられます。
今後は,粒子状物質の健康影響をナノ粒子の影響も含めて質的・量的側面より評価し,少しでもSPMのリスク軽減にお役に立てればと考えております。
執筆者プロフィール:
大学時代に泥臭い体育会で育ったため頭を使うことは苦手ですが,体力にはいささか自信があります。日々のランニングとシャドウボクシングを欠かさない右ボクサーファイター。


